出っ歯(上顎前突)
2018/01/16
- 上下顎の前歯の傾きに問題がある場合、下顎骨が小さく後退している場合、上顎骨が前方に出ている場合などがあります。
- 小児では、転倒した際に前歯を破折することがあります。
また、唇を閉じることが難しく、いつも口が開いた状態になることがよくあります。
- 遺伝的な背景が原因となることもありますが、指しゃぶりや口呼吸(耳鼻科的疾患などによる)が原因となることもあります。
- 成長期では、過剰な上顎骨の成長や下顎骨の成長不足に対する治療を行います。永久歯列が完成する前の、成長期の早い時期(8~10才)に受診されることが望ましいと考えます。
- 永久歯列完成期(12-15歳)には、マルチブラケット装置による治療を行います。特に顎の大きさに問題がある場合には、口腔外科医の協力で骨の手術を併用することもあります(外科的矯正治療)。
小児の上顎前突症(第1期治療+第2期治療)
主訴: 上顎前歯の突出が気になる
診断: 上顎前突(10歳)
使用装置: 機能的矯正装置、上下顎マルチブラケット装置
動的治療期間: 第1期治療24か月、経過観察期間29か月、第2期治療期間9か月
費用: 約80万円(税別)
リスク・副作用:丁寧な歯磨きが必要、可撤式矯正装置の使用協力が必要、一般的な歯科矯正治療に付随するリスク
「治療開始前」10歳4ヶ月



「第1期治療 機能的矯正装置」



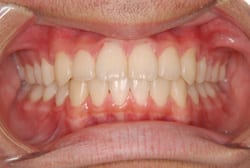
「第2期治療 マルチブラケット装置」14歳9ヶ月



「治療終了時」15歳6ヶ月

治療前後の口元の変化
